该系统对2214张测试图像进行了分类,准确率为83%。
上周,美国西北大学研究人员宣布,他们成功开发出一款新型人工智能(AI)放射学工具,能够通过胸部X光片检测出COVID-19感染迹象。
此项研究已经发表在《放射学》杂志上,并指出该系统“对2214张测试图像进行了分类,准确率为83%。”

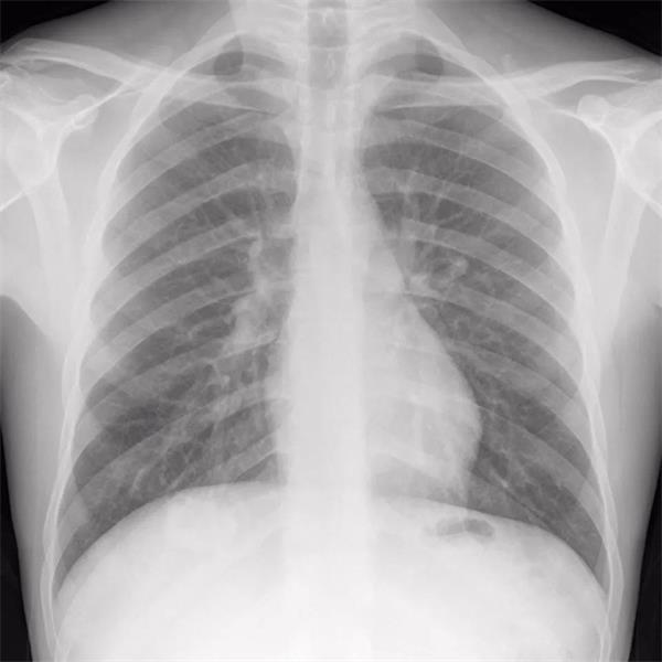
▲ 图为一位成年健康男性的胸部X光片数字化样片,中央处的以及大小正常,且肺部轮廓清晰可辨
研究论文资深作者Aggelos Katsaggelos博士在报道中指出,“我们的目标并不是替代常规测试,X射线造影是一项常规、安全且廉价的诊断方法。”
另一位主要作者Ramsey Wehbe博士也解释道,“常规的COVID-19测试往往需要几小时甚至几天时间才能得出结果,而AI技术并不足以确定对方是否已经感染。但如果能够使用这种算法标记患者,则至少可以在获得测试结果之前加快分类速度。”
正如Katsaggelos所提到,这种通过初步筛查以判断哪些患者需要隔离的方案本身,已经足以给急诊科医师带来巨大的效率提升。在本次疫情流行高峰期间,以口罩为代表的个人防护设备已经在全球成为首批低价供应的防疫物资。但根据观察,仍有不少已经感染新冠病毒的患者并没有做好自我保护措施,因此可能加剧这种疾病的蔓延。实际上,不少医护人员由于物资紧张而被迫重复使用防护设备进行病患护理。根据疾控中心发布的数据,到目前为止,已经有近238000名医护专业人士接触COVID-19病毒,并有841人因感染而不幸去世。

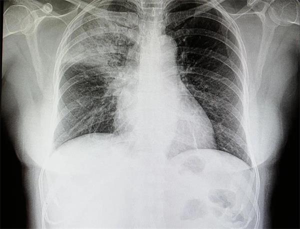
▲ 图为患有潜在大叶性肺炎患者的胸部X光片
同时,这篇期刊文章还讨论了对这项技术的深入考量:“此前的临床研究表明,COVID-19肺炎在胸部造影学层面上显示出一定特征,但仍有高达56%的有症状患者、特别是在其早期患病阶段,很可能拥有看似正常的胸部X光片。因此,医学造影不技术不适合用于「排除」疾病。此外,对COVID-19病患进行的成像实现发现,大部分结果都具有非特异性表现,即与其他病毒性肺炎存在特征重叠。因此,胸部成像不应用作COVID-19的诊断工具,但仍可在早期识别潜在病患方面发挥积极作用,包括帮助对病患进行分类以及感染控制。”
这篇报道还警告称,“当然,也有一部分COVID-19病患不会表现出任何症状,包括在胸部X光片中不存在任何异常。在病毒感染的早期阶段,很多患者的肺部未出现任何异常。”在这类情况下,这一AI放射学工具可能发挥不了多大作用。
尽管如此,正如研究作者们所强调,“我们认为该算法能够自动标记可疑的胸部影像以实现对患者的隔离及进一步诊断,通过自动标记患者病情,医疗机构可以有效预防病毒感染者不必要地扩大接触范围。”
事实上,如果进一步对这款筛选工具进行测试,并最终证明其有效、安全、可行并拥有一定程度的可扩展性,那么它完全有望切实帮助医疗工作者减轻抗疫负担。
