得口腔癌的可能性可以通过先进的人工智能算法来预测。人工智能算法是由英国华威大学计算机科学系的科学家开发的,它可以精确地计算出肿瘤细胞中免疫细胞的丰度,以达到预测目的。

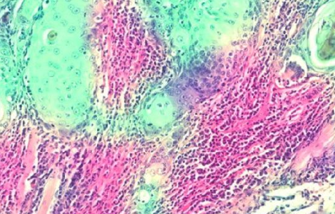
基于人工智能的区域检测包含肿瘤细胞和免疫细胞,分别以绿色和粉红色显示口腔癌在南亚最为普遍,特别是印度、巴基斯坦和斯里兰卡,主要原因是咀嚼烟草、食用槟榔和HPV等病毒感染。
那么具体怎么预测呢?研究人员成功地开发了一个可以测量肿瘤浸润淋巴细胞TILs的数字记分人工智能系统。TIL的存在越多,口腔癌几率越高。
这些图像是由巴基斯坦纪念癌症医院研究中心的病人扫描产生的,他们都已经接受了辐射和头颈外科手术。然后,癌症组织样本被送到英国华威大学,在那里,研究人员利用一种先进的成像机器,能够在微观范围内数字化地产生高分辨率的样本图像。
肿瘤细胞附近淋巴细胞的存在不仅有助于判断肿瘤具体的期限,还可用于准确预测肿瘤的进展。
